性病(性感染症)の画像・写真
Sexually Transmitted Disease:STD Photos
性病(性感染症)の画像・写真
Sexually Transmitted Diseases:STD Photos
膣(ちつ)トリコモナス症の画像写真
膣トリコモナス感染症(トリコモナス症 : trichomoniasis)
トリコモナス感染症は、膣トリコモナス(Trichomonas vaginalis)という原虫の感染によって起こります。
人に寄生するトリコモナスには、腸トリコモナス、口腔トリコモナス、膣トリコモナスの三種類があります。
中でも膣トリコモナスは性行為感染症(STD)のひとつとして重要です。
女性は、主に膣に感染し『膣炎』を起こし、
男性は、主に尿道に感染し『尿道炎』を起こします。
女性は、トリコモナスに感染している男性および女性の両方から感染します。
男性は、トリコモナスに感染している女性からのみ感染します。
トリコモナスは原虫という小さな虫です。
原虫とは、単細胞の原生動物に属する寄生生物です。
アメリカ合衆国では、毎年約500万人の男女が、新しく膣トリコモナス感染症に感染しています。
病名からも判る通り、多くの場合、女子の感染が目立ちますが、男子でも感染します。
ただし、男性の場合は排尿時に、トリコモナスが体外へ排出される事が多く、発症する例はあまりありません。
膣トリコモナス症の画像・写真
膣トリコモナス症は男女の性器に、トリコモナスが感染して起こされる感染症です。
トリコモナスは原虫という小さな虫です。
原虫とは、単細胞の原生動物に属する寄生生物です。
画像の上に、カーソル(ポインタ)を置いてください。
ほら、マウスを動かしたら動くヤツです。
『⇒』のことですよ。
![]() トリコモナス原虫(Trichonas vaginalis)は鞭毛虫類に属し、虫体は洋梨状で大きさは白血球より大きく膣の上皮細胞より小さく、平均18.57μ(10-40μ)の大きさです。前方に大きな核と3~5本の鞭毛(ひげのようなもの)と波動膜があり、活発に運動しています。 |
|---|
![]() 膣トリコモナス症の特徴的なおりものです。乳白色で、強い悪臭があります。 |
![]() 膣トリコモナス症に多く見られる、白く泡だった下り物が膣壁にあふれています。 |
![]() 外陰唇、膣口から、白く悪臭の強い帯下があふれてきます。 |
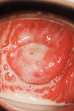
![]() 子宮頸管付近に、多量の泡だったおりものが見られます。 |
![]() 膣トリコモナス症では、女性は、主に膣に感染し『膣炎』を起こしますが、このように子宮頸管にも感染します。特徴的な帯下と点状出血が見られます。 |
![]() 女性は、主に膣に感染し『トリコモナス膣炎』を起こします。外陰部や膣の痒み(かゆみ)・灼熱感(熱く焼ける感じ)・発赤等が特徴的な症状です。 |
![]() トリコモナスによる尿道炎で尿道から膿のような分泌液が出ています。通常は、痛み等の自覚症状はありません。 |
![]() トリコモナスは、糖・グリコーゲンが多く存在する、性的に成熟した女性の膣を好みます。ややアルカリ側に傾く妊娠時や月経時に感染しやすいとされています。 |
膣トリコモナス症の特徴:女性
-
外陰部や膣の痒み(かゆみ)・灼熱感(熱く焼ける感じ)・発赤
-
血の混じったおりもの
-
性交時、挿入時における、ヴァギナ(膣)の痛みや不快感や刺激感
-
排尿時痛(膀胱炎などの尿路感染症を合併している場合)
-
悪臭の強い黄緑色の泡だったおりもの
-
悪臭の強い白くさらっとして泡だったおりもの
-
おりものの量が増える
-
外陰部や膣またはおりものに魚臭(アミン臭)が出る
トリコモナスに感染した女性の約50%は、症状や徴候が現れるようです。
潜伏期間は5~28日間です。
主な感染場所は膣ですが、尿道や子宮頸管にも感染します。
女性の場合、自覚症状が出るのは、50%程度と言われています。
感染の目安としては、泡状で悪臭が強く、白色や黄緑色の帯下(おりもの)が特徴的です。
また、多くの感染者には、外陰部の発赤、痒み、灼熱感などが見られます。
そして、トリコモナスが尿路に侵入した場合には、排尿痛あるいは排尿時不快感が生じます。
進行すれば、帯下が血性となり、膣壁に黄色の分泌物を伴う、小さな顆粒状ないし斑点状の出血斑がしばしば見られます。
膣トリコモナス症の特徴:男性
- 尿道から膿のような分泌液が出る
- 排尿時(おしっこの時)軽い痛みがある
- 排尿時や射精時に性器(ペニス)が熱くヒリヒリと焼けるような感じがする
- ペニスに痒み(かゆみ)や違和感がある
男性の場合、トリコモナスは、尿道、膀胱、前立腺や精路、精嚢(睾丸の袋)、尿道、陰茎包皮どに棲息しています。
通常は、尿道に感染し『尿道炎』を起こしますが、自覚症状はほとんどありません。
感染後の潜伏期間は10日前後と淋菌より長くなります。
男性のトリコモナスは尿と一緒に排出されることが多く、症状が出た場合でも、通常2、3週間で消失します。
トリコモナスの大きさ・形状
トリコモナスの体の大きさは、10~25μmで、白血球よりもやや大きい程度です。
形状は洋梨状を呈し、前方に大きな核と3~5本の鞭毛、波動膜があります。
トリコモナスの感染経路
一般的に性行為に伴う接触によって感染しますが、風呂の椅子、タオルなどからの感染も考えられるため、家族内感染の危険性もあります。
トリコモナスは、糖やグリコーゲンを消費するため、糖やグリコーゲンが多量に存在する女性の膣を好んで寄生します。
結果、女性の主な感染部位は膣と言うことになります。
その他に、バルトリン腺や子宮頸管、尿路が感染経路になることもあります。
通常、女性の膣内は乳酸桿菌の働きにより酸性なので、ややアルカリ側に偏る妊娠時、あるいは、月経時に感染しやすくなります。
そして、膣トリコモナスに感染すると、トリコモナスが膣内の糖を消費してしまうため、
ますます、膣内をアルカリ化させてしまい、他の細菌感染を助長する傾向があります。
トリコモナス症は、クラミジア感染症や淋病と同様にHIV感染リスクを高めます。
トリコモナス症は、感染していても症状が出ない人が、約50%いると言われています。
特徴的な症状がなくても、感染の心配がある場合は検査しましょう。
トリコモナス症の感染検査
トリコモナスは、肉眼で見る事は出来ません。
トリコモナスの検査は、 通常は、綿棒で尿・膣分泌物を採取し、動いているトリコモナス原虫を確認することで診断しています。
逆に言えば、トリコモナスが献体の輸送中に死んでしまうと、確認が困難になります。
トリコモナスの生死にかかわらず【トリコモナスの存在の有無】を検査できる、
遺伝子検査=DNA検査をしているメーカーが、ひとつだけあります。
膣トリコモナス症の治療方法
膣トリコモナス感染症は、有効な抗生物質を用いて治療されます。
経口薬や膣錠、膣座薬が主体ですが、患部への軟膏の使用もあります。
当然ですが、治療しないで放っておけば、トリコモナス原虫は体内に存在し続けます。
気付かないで、セックスをした相手にトリコモナスを感染させる可能性があります。








